¿Aprieto los dientes?. Qué debo saber
El bruxismo es la enfermedad más agresiva para nuestros dientes. Debe ser tratada por tu dentista.
Poner medidas contra el bruxismo protege tus dientes y mejora tu calidad de vida. Esta enfermedad está muy relacionada con lesiones en las articulaciones de la boca, dolores de cabeza, contracturas cervicales, mareos, etc.
Odontología Avanzada relacionada con el bruxismo
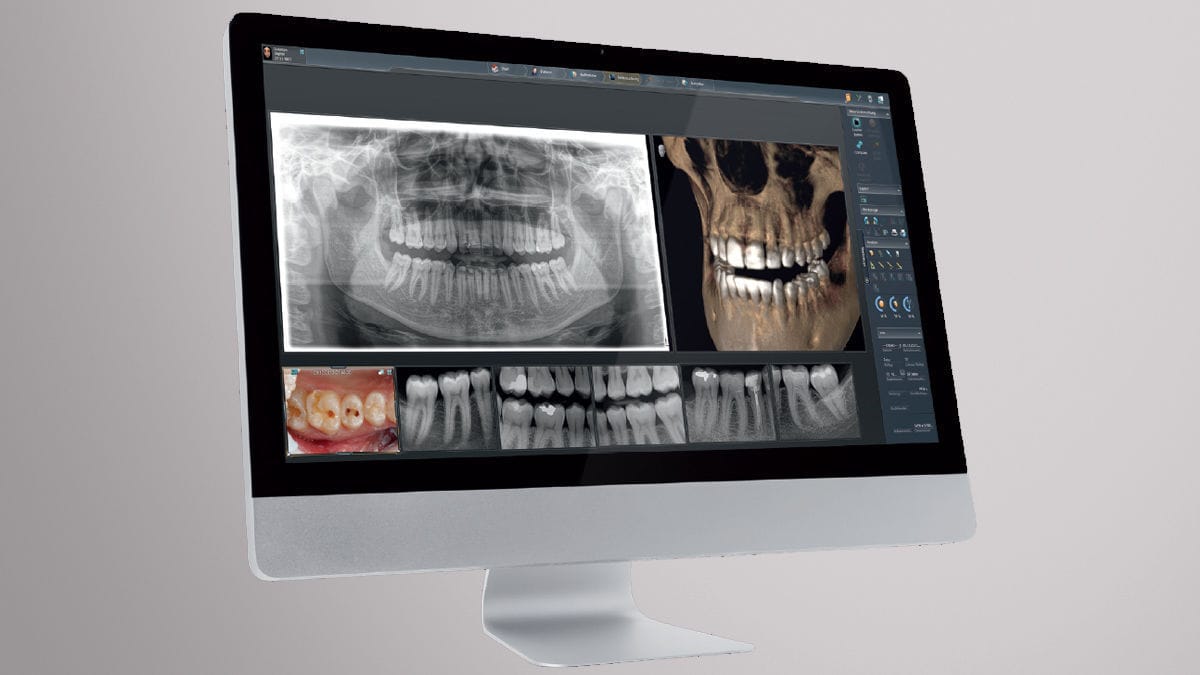
Radiología 3D
Un escaner dental permite observar el estado de la boca en tres dimiensiones y la densidad de los tejidos con todo tipo de detalles.








