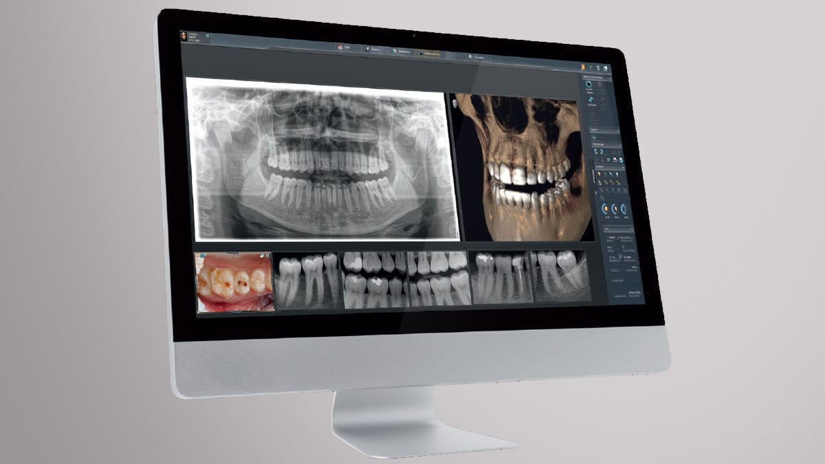
Radiología Digital 2D y 3D
¿Qué aporta una radiografía a mi tratamiento? y ¿un escáner 3D?, ¿es bueno irradiarse en el dentista?
Radiología digital 2D y 3D: Aplicaciones
Radiología periapical digital
Instantánea, de alta definición, imprescindible para tratamientos de endodoncia.
Más Odontología Avanzada:
PerioLáser: Dentista sin dolor
Las aplicaciones láser a tratamientos dentales elimina el dolor y sangrado.








