
¡Tú sonrisa perfecta sin que nadie lo note!
Con nuestra ortodoncia invisible
26 de Noviembre en Granada y 27 en Jaén. ¡Blanqueamiento gratis con tu tratamiento y 300€ de descuento directo!
¡Agendar mi cita!
Desde Clínica Cámara trataremos tus datos personales para programar citas y para el envio de notificaciones informaticas relacionadas con las mismas. En la política de privacidad se indica cómo puedes ejercer tus derechos de acceso, rectificación, supresión, limitación, portabilidad y oposición.

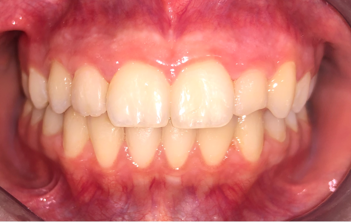
¡Resultados increíbles sin que nadie nota que lo llevas puesto!
La ortodoncia invisible consigue unos resultado óptimos mientras que a la vez es prácticamente imperceptible.
Los alineadores son cómodos y permiten tener una higiene perfecta durante el tratamiento.
La técnología más puntera para el mejor resultado
Toda nuestra ortodoncia invisible está diseñada por ordenador y planificada previamente, de tal formas que podrás ver tu resultado antes de empezar y conseguimos resultados completamente predecibles

Ventajas para tí en Clínica Cámara
Simulación 3d de tu tratamiento
Realizaremos una simulación 3D en el mismo momento para que puedas apreciar cómo va a quedar tu sonrisa con el tratamiento
Blanqueamiento Dental Gratis
Al terminar tu tratamiento de ortodoncia, te realizaremos un blanqueamiento dental completamente sin coste para que puedas disfrutar completamente de tu nueva sonrisa
300 Euros de ahorro directo
Te llevarás un descuento de 300€ directo sobre el presupuesto de tu tratamiento en la misma cita


